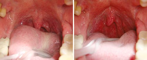
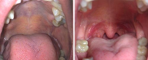
Liệu pháp NightLase® của Fotona là điều trị laser thân thiện với bệnh nhân nhằm tăng cường chất lượng giấc ngủ của người được điều trị. NightLase® có thể giảm bớt hậu quả và biên độ ngáy bằng một điều trị laser nhẹ nhàng tác dụng lên mô niêm mạc.
* Các hệ thống laser Fotona thuộc họ LightWalker và họ Dynamis đã được Cục FDA Hoa Kỳ phê duyệt cho phẫu thuật ENT (Ears, Nose, Throat), bốc bay mô mềm trong miệng, đông máu, cắt bỏ và rạch, và chỉnh hình lưỡi gà, khẩu cái với laser (laser assisted uvulopaletoplasty – LAUP).
Đơn giản, an toàn và hiệu quả
Phương thức phát xung laser độc quyền của Fotona tối ưu hóa độ dài các xung, giúp làm nóng mô niêm mạc miệng một cách an toàn. Cách làm này đủ nhẹ nhàng để sử dụng trên các mô nhạy cảm trong miệng, nhưng cũng đủ mạnh để tạo hiệu quả làm nóng về mặt lâm sàng.
Với các thực hành NightLase® đã qua đào tạo bài bản, việc tạo ra thay đổi tích cực về giấc ngủ có tỷ lệ thành công cao. Các nghiên cứu đã cho thấy NightLase® có thể làm giảm và làm yếu đi tình trạng ngáy và cung cấp cách thức giảm ngáy hiệu quả, không xâm lấn.
Giải pháp thân thiện với bệnh nhân
Một liệu trình NightLase® đầy đủ bao gồm ba giai đoạn điều trị riêng biệt trong khoảng thời gian 2 tháng. Kết quả sau cùng của điều trị đã được chứng minh là kéo dài hơn một năm, và có thể lặp lại liệu trình.
Đối với bệnh nhân, NightLase® là một giải pháp đem lại sự thoải mái và hài lòng cao. NightLase® không đòi hỏi bệnh nhân đeo bất kỳ thiết bị nào trong lúc ngủ và không dùng thuốc can thiệp vào điều trị. Đó là cách nhẹ nhàng và dễ dàng để bệnh nhân được nghỉ ngơi trong giấc ngủ ngon.
Các hệ thống bước sóng kép sau đây của Fotona vừa lý tưởng cho điều trị NightLase® vừa thích hợp cho các điều trị thẩm mỹ khuôn mặt khác:
- LightWalker – một hệ thống độc đáo sở hữu công suất của các hệ thống laser nha khoa Er:YAG và Nd:YAG có hiệu suất cao nhất để mở rộng ứng dụng điều trị với bước sóng kép, bao gồm Điều trị Nội nha TwinLight® và Điều trị Nha chu TwinLight® độc quyền. Mẫu máy LightWalker AT hiện đại bậc nhất, đặc trưng bởi sự thuận tiện và thiết kế hợp lý tạo sự thoải mái khi sử dụng, và là hệ thống laser nha khoa duy nhất trên thị trường được tích hợp công nghệ quét ngay khi cần.
- Các hệ thống laser đa ứng dụng thuộc dòng SP đến từ Fotona (SP Dynamis & SP Spectro) đều là hệ thống độc đáo có khả năng và đầy đủ tính năng cung cấp năng lượng cao như các hệ thống laser Er:YAG và Nd:YAG có hiệu suất hoạt động cao nhất trong ngành, thích hợp cho phạm vi ứng dụng rộng rãi trong thẩm mỹ và da liễu. Mẫu máy SP Dynamis còn có thêm laser phẫu thuật QCW Nd:YAG để làm tiêu mỡ, điều trị chứng tăng tiết mồ hôi và nhiều quy trình phẫu thuật khác.
Hiệu suất ưu việt
Các hệ thống dòng SP được trang bị laser Er:YAG hiệu suất cao giúp tối đa hóa hiệu quả bốc bay với công nghệ VSP (Variable Square Pulse – Xung vuông Biến đổi) độc quyền. Công nghệ này có thể điều chỉnh để bốc bay “nguội” và sinh nhiệt không bốc bay theo nhiều tỷ lệ khác nhau một cách chính xác. Khả năng tùy chỉnh trọn vẹn giúp bác sĩ đạt được kết quả lâm sàng bệnh nhân mong muốn một cách chi tiết.
Trên mỗi hệ thống, laser Nd:YAG với khả năng xuyên sâu vào da để tạo hiệu ứng nhiệt mà không gây hại tới kết cấu bề mặt da, là phép bổ sung hoàn hảo cho tác động bốc bay của laser Er:YAG. So với các công nghệ Nd:YAG truyền thống, kiểu phát xung VSP độc quyền của Fotona tăng sinh nhiệt gần như tức thời và chỉ giới hạn ở cấu trúc mô đích. Không có nhiệt năng thừa nào tác động vào da.
Tay cầm và phụ kiện
Công nghệ tay cầm cải tiến, được thiết kế một cách đặc biệt của Fotona giúp kiểm soát và tối ưu hóa việc truyền xung laser đến khu vực điều trị một cách chính xác. Thông tin thêm về tay cầm và các phụ kiện khác được nêu trong trang sản phẩm (xem đường dẫn bên trên).


